肝动脉灌注化疗(HAIC) “出马” 肝癌患者不再“肝”着急
近日,阳西总医院人民医院肿瘤科成功为一名肝内巨大肿瘤病人实施肝动脉灌注化疗(HAIC),不到3个月的时间,就实现了肿瘤 “惊人蜕变”,从巨大肿瘤到肿瘤基本消失,为肝癌患者带来了新福音。


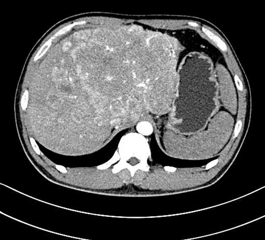
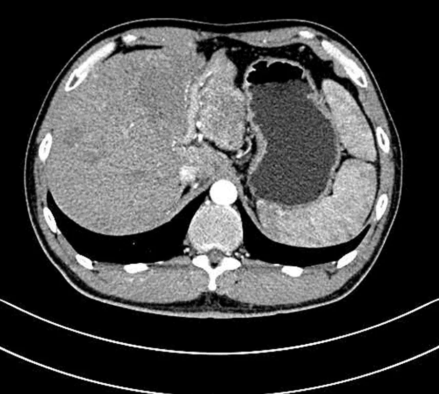
该病例为一名34岁多发巨块型肝癌患者,肝内见一个巨大肿瘤病灶及多发转移病灶。肝内巨大病灶压迫胃部,导致患者进食差,少许进食即饱腹感明显,腹痛,生活质量差。


“众所周知,肝切除及肝移植是肝癌患者延长生存期甚至获愈的最佳选择方案。但我国大部分肝癌患者确诊已是中晚期,能够进行手术切除的患者只有20-30%。患者肝内肿瘤大而且多发,已没有外科手术机会。加上全身化疗反应大,肝内药物浓度不高,疗效也受限。如不及时有效控制,可能会出现肝功能衰竭而危及生命。”阳西总医院人民医院肿瘤科副主任刘亦坚介绍,结合该患者肝内肿瘤巨大且多发的情况,敖永曦主任带领的肿瘤科团队对该病例治疗方案进行了反复研究讨论,最终决定采用肝动脉灌注化疗(HAIC)进行治疗。
肝动脉灌注化疗(HAIC)是什么?
肝动脉灌注化疗选择这种特殊的打药方式这是由于肝脏正常组织和肝癌供血方式存在差异而决定的。
肝脏是具有两套供血的特殊器官,其中一套是肝动脉供血,另一套是门静脉供血。对于肝脏正常组织来说,70%的血供来自门静脉,另外30%则来自肝动脉,而肝癌组织的血管几乎全部由肝动脉提供。因此,与全身化疗相比,肝动脉灌注化疗能够使肿瘤持续的受高浓度化疗药物的影响,从而最大程度的杀伤肿瘤细胞,同时正常肝脏组织受化疗药物影响较小。
阳西总医院人民医院肿瘤科成功为患者进行了肝动脉灌注化疗(HAIC)。HAIC疗法经股动脉将微导管置于肝肿瘤分支血管,通过微导管将抗肿瘤药物直接送达肝内肿瘤血管达到治疗目的。经过1个周期的治疗,患者肝部肿瘤较前明显缩小,对胃的压迫减轻,已能正常进食,腹痛腹胀消失,再经过2个周期的HAIC治疗后,肝内巨大肿瘤染色基本消退。

刘亦坚副主任表示,肝动脉灌注化疗(HAIC)最初用于进展期原发性肝细胞肝癌的治疗,现在拓展到肝转移瘤的治疗。具有效果好、不良反应小、创伤小、安全性好等优势,对晚期肝癌有较高的转化切除率和肿瘤控制率。
肝动脉灌注化疗(HAIC)的优势
1、相对于全身化疗,HAIC的副作用非常小。
而对于肝动脉灌注化疗来说,多数化疗药物都已经在肝脏代谢,分布至全身的剂量较少,从而减少全身不良反应。
而肝动脉灌注化疗采用持续给药方式,一方面明显增加了化疗药物的总剂量,延长了高浓度化疗药物的作用时间,可取得更好的缩瘤效果;另一方面由于不使用栓塞剂,杜绝了栓塞综合征及异位栓塞等不良事件的发生,也避免了由于肿瘤炎症渗出导致的周围组织粘连,为二期手术切除提供了更为有利的条件。
阳西总医院人民医院肿瘤科副主任刘亦坚先后在中山大学附属第五医院进修肿瘤内科,广州医科大学附属肿瘤医院进修肿瘤介入,率先在阳西地区开展肿瘤内科及肿瘤介入微创治疗。肝动脉灌注化疗(HAIC)与肝癌治疗前沿的靶向治疗及免疫治疗相结合,为晚期肝癌及肝转移肿瘤患者提供了新的希望。
刘亦坚副主任提醒,早诊早治仍是提高肝癌治愈率最重要的手段,早期小肝癌可通过手术或消融达到治愈,提倡针对高危人群的筛查早诊。即使是中晚期肝癌,经过综合治疗转化为可切除后5年生存率于初始接受根治行切除患者相当,建议尽早的规范化综合治疗。

用户登录