【个性化体检】隐藏疾病早发现、早治疗
随着社会发展和人民生活质量的提高,人们健康意识的不断增强,定期进行必要的健康体检受到越来越多的重视。
阳西县医院集团总医院健康体检中心位于综合住院楼一楼,为满足群众的多元化健康需求,我院体检中心打破传统的定制套餐的管理模式,针对每位客户生活习惯、身体状况的不同,制定个性化的体检方案,包括较为先进的磁共振成像(MRI)检查。对检查出问题的客户,体检中心启动绿色通道就诊,提供跟踪随访服务,真正做到把“健康”一管到底。





临床实例
①

2018年8月,一名21岁体检者经MRI检查拟诊断为“低级别胶质瘤”。
【低级别胶质瘤,指低度恶性的胶质瘤,临床症状隐匿不易发现,病情发展迅速,早期发现有利于患者的治疗和愈后】
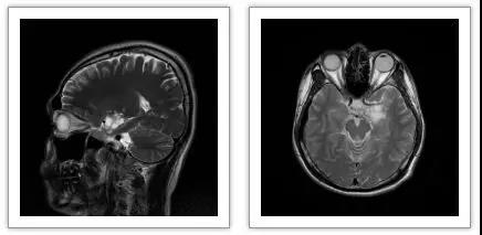
②

2017年11月,一名47岁体检者经MRI检查拟诊断为“大脑动静脉畸形”。【大脑动静脉畸形,AVM,是一种先天性局部脑血管发生学上的变异。临床症状隐匿不易发现,死亡率高达10%,早期发现有利于患者的治疗和愈后】
专家建议

影像诊断中心主任、副主任医师易建生认为,个体化的体检方案更加科学、合理,特别是像磁共振这种先进的影像检查,没有辐射损伤,对中枢神经的疾病早期发现具有重要价值。
资讯报道


阳西县医院集团健康体检中心设有内外科、男科、妇科、五官科、口腔科、骨科、中医科等临床检查室,拥有国外知名品牌CT机、骨密度检查仪、彩色B超、DR-X线摄片机、肺功能检查仪、中医体质辨识系统等高精尖的专业体检设备,依托专业强大的专业医护团队,打造了40多套极具个性化的体检套餐,提供VIP、免费营养早餐等人性化服务,是阳西县规模最大、检查项目及功能最齐全的体检和健康管理机构。
健康预约热线:0662-5880271

阳西县医院集团影像诊断中心由深圳罗湖医院集团与阳西县医院集团合作共建,拥有国内外先进的影像检查设备,包括64排螺旋CT、美国GE1.5T核磁共振、德国西门子螺旋CT、DR、胃肠机等。借助互联网平台,医共体内所有影像上传到影像诊断中心,由总医院影像专家团队远程阅片并出具诊断报告,保证医共体内影像诊断水平同质化。

用户登录