大脑内放支架撑开“生命之路”|脑科介入团队成功完成首例脑血管支架植入术
7月29日上午,阳西总医院人民医院脑科介入团队在中山大学孙逸仙纪念医院潘经锐博士指导下成功完成首例脑血管支架植入术。

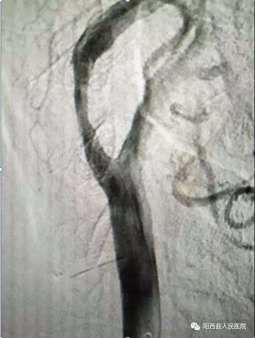
此次手术患者是一位84岁的老年男性,因左侧肢体乏力一天收住我院脑科中心。入院后完善各项常规检查,颅脑MRA示:右侧基底节区、放射冠脑埂塞。颈部血管彩超示:右侧颈内动脉起始段重度狭窄(狭窄》70%)。头颈部CTA示:右侧颈内动脉颈段混合性斑块,管腔中重度狭窄。排除禁忌后,进行DSA检查。术中发现RC1约60%症状性狭窄,在血管狭窄处放入支架1枚,患者血流情况恢复良好,左侧肢体肌力恢复,可自行行走。


DSA下支架植入影像
此项技术的成功实施,标志着阳西总医院脑科中心在脑血管造影应用成熟的前提下,向开展脑血管精密治疗迈出了坚实一步。脑科中心正一步步进入脑血管介入精密诊疗的全新时代。同时,也为阳西总医院卒中中心建设再添一利器,为阳西县脑血管病人撑起生命的保护伞。

用户登录